Chagas Disease (American Trypanosomiasis)
- Various

- hace 3 horas
- 47 Min. de lectura
Background
Chagas disease, also known as American trypanosomiasis, is caused by infection with the protozoan parasite Trypanosoma cruzi. The organism T cruzi and infection in humans were first described in 1909 by the Brazilian physician Carlos RJ Chagas. [1] T cruzi mostly is found in blood-sucking triatomine insects (kissing bugs) and small mammals in a sylvatic cycle that is enzootic from the southern and southwestern United States to central Argentina and Chile. T cruzi infection in humans occurs in a spotty distribution throughout the range of the sylvatic cycle.
New cases of vector-borne T cruzi infection usually occur in persons who live in primitive houses in areas where the sylvatic cycle is active. The living quarters are invaded by infected triatomines, which become domiciliary. Infected insects take blood meals from humans and their domestic animals and deposit parasite-laden feces. The parasites then are transmitted via contact with breaks in the skin, mucosal surfaces, or the conjunctivas. Transmission also can occur congenitally, via blood transfusion and organ transplantation, and by ingestion of food and drink contaminated with feces from infected bugs. A couple dozen cases of T cruzi transmission via laboratory accidents have been reported, but none recently. [2]
T cruzi infection is life-long. A minority of persons with long-standing T cruzi infection develop the serious cardiac and gastrointestinal problems that characterize chronic symptomatic Chagas disease.
The parasite
T cruzi is a member of the family Trypanosomatidae in the order Kinetoplastida and belongs to a special section called Stercoraria. The infective forms of T cruzi are contained in the feces of the insect vectors and gain entry into its mammalian hosts through contamination. This mechanism of transmission contrasts with that of the two subspecies of African trypanosomes that cause human disease, Trypanosoma brucei gambiense and Trypanosoma brucei rhodesiense, which are transmitted via the saliva of their vectors, and with the mechanism by which a nonpathogenic trypanosome found in the Americas, Trypanosoma rangeli, is transmitted to its mammalian hosts.
As with other parasites that infect both mammalian and insect hosts, the life cycle of T cruzi is complex (see image below).

Life cycle of triatomines. Courtesy of the CDC.
The T cruzi life cycle consists of 3 main developmental forms. Epimastigotes are an extracellular and noninfective form of the parasite found in the midgut of insect vectors, where they multiply by binary fission. As epimastigotes (depicted in the first image below) move to the hindgut, they differentiate into metacyclic trypomastigotes (depicted in the second image below), which are nondividing forms resistant to mammalian complement that have the capacity to infect mammalian cells. They enter local cells through breaks in the skin, mucous membranes, or the conjunctivas and transform into the third morphologic form, amastigotes. Amastigotes multiply intracellularly until the host cell is overwhelmed, at which point they transform into bloodstream trypomastigotes.
Chagas disease (American trypanosomiasis). The trypomastigote is the infective flagellated form of the parasite found in the blood of the mammalian hosts (blood trypomastigote) and in the hindgut of vectors (metacyclic trypomastigote). Image courtesy of Peter Darben, MD.

Chagas disease (American trypanosomiasis). The epimastigote form of Trypanosoma cruzi is the multiplying stage of the parasite that grows in the gut of the insect vector and also in cell-free culture medium as shown here. Image courtesy of Peter Darben, MD.

As the host cells rupture, the trypomastigotes are released into the lymphatics and bloodstream, through which they spread to distant sites and invade new host cells. See image below.
Trypanosoma cruzi trypomastigotes in a mouse blood smear (Giemsa, x625). Courtesy of Dr. Herbert B Tanowitz, New York, NY.

This process continues asynchronously for the life of the host. Small numbers of trypomastigotes may be ingested in blood meals taken by uninfected triatomines. The trypomastigotes then transform into epimastigotes in the midgut of these insects, thus completing the cycle.
T cruzi also can be transmitted when mammalian hosts ingest infected insects, and this mechanism of transmission may play a major role in maintaining the sylvatic cycle.
Numerous biological, biochemical, and molecular studies have shown that the population of T cruzi is highly diverse. [3, 4, 5, 6, 7, 8, 9] Although T cruzi is a diploid organism in which some genetic exchange may occur in insect vectors, [10] its genetic and phenotypic diversity is thought to result from the clonal multiplication of the epimastigote and amastigote forms. The consensus is that T cruzi can be divided into 6 discrete taxonomic units (DTUs; TcI through TcVI). The strains in each DTU show variability in geographic, epizootic, epidemiologic, and pathogenic characteristics. [11] Unfortunately, no clear associations have been found between the strain groups and pathogenicity or drug susceptibility. In general, the extensive genetic and, more recently, proteomics data generated so far, including the framework of the DTUs, have not yet led to new tools to reduce transmission, advances in the management of clinical disease, new drugs, or a vaccine. In the area of diagnosis, however, the results of molecular work on T cruzi have led to the development of highly accurate assays that are used widely to detect T cruzi infection.
Vectors of T cruzi
Triatomines, which transmit T cruzi, belong to the family Reduviidae in the order Hemiptera. Reduviidae has 22 subfamilies, including the Triatominae. [12, 13] Although the vectors of T cruzi occasionally are referred to as reduviids, this term is not appropriate since the vast majority of the species in the family Reduviidae are phytophagous or insectivorous and do not transmit the parasite.
All triatomine species are able to transmit T cruzi to humans, but only a handful become domiciliary to any great extent and are important as T cruzi vectors. Many more triatomine species are involved in the widespread sylvatic cycles. Triatomines have 5 nymphal stages (instars), all of which can harbor and transmit T cruzi.
The three vector species most important in the transmission of T cruzi to humans include Triatoma infestans, Rhodnius prolixus (see image below), and Triatoma dimidiata. Historically, T infestans has been the most important by far, as it has been the primary vector in the sub-Amazonian endemic regions. Since the early 1990s, under the aegis of the Southern Cone Initiative (SCI), which is supported by the World Health Organization (WHO) and the Pan American Health Organization (PAHO), Chagas disease control programs in Argentina, Bolivia, Brazil, Chile, Paraguay, and Uruguay have focused on eliminating domiciliary T infestans.
Rhodnius prolixus, a common vector of Trypanosoma cruzi. Eggs, first- and second-stage nymphs, and adult.

These efforts have been widely successful, so much so that Uruguay (1997), Chile (1999), and Brazil (2006) have been declared free of vector‑borne transmission. [14, 15]
Major progress in vector control also has been achieved in Argentina, Paraguay, and Bolivia. Programs similar to the SCI have been implemented in the Andean nations and Central America, where R prolixus typically is found. [16, 17] The range of T dimidiata is similar but also extends far into Mexico. Other domiciliary species occupy more restricted areas and play less-important roles in the transmission of T cruzi to humans. The sylvatic species can colonize human dwellings and thus present a potential risk for transmission.
Mammalian hosts of T cruzi
T cruzi infection has been found in more than 100 mammalian species throughout the range mentioned above, which includes the southern and southwestern United States. Mammals typically involved in sylvatic cycles of transmission include opossums, armadillos, raccoons, monkeys, wood rats, and coyotes, among many others. [18, 19, 20, 21, 22, 23, 24]
Pets such as dogs and cats can become infected in enzootic regions, likely as they eat parasitemic prey or ingest infected insects. [25, 26, 27] It is of interest that Carlos Chagas observed T cruzi in the blood of wild marmosets and a domestic cat before he discovered the parasite in the blood of his first infected patient, Berenice. In some situations, dogs have been shown to be an important link in the maintenance of the domiciliary cycle and consequent transmission to humans. [28]
Livestock occasionally have been found to be infected with T cruzi, but the parasite is not known to adversely affect their health. Birds, amphibians, and reptiles are naturally resistant to T cruzi infection. In some situations, however, birds may be important sources of blood meals for triatomines.
The modes of transmission of T cruzi to humans
Historically, most transmission of T cruzi to humans has resulted from the contamination of vulnerable surfaces (eg, breaks in the skin, mucosae, and the conjunctivas) with the feces of infected vectors. However, as noted, vector-borne transmission has been reduced markedly in many endemic countries. Transfusion transmission was a major public health problem in endemic countries for decades, but, as accurate serologic assays for T cruzi infection were developed and screening of blood donors became mandatory and were implemented throughout the endemic range, this problem essentially has been eliminated. [29]
Not surprisingly, T cruzi can be transmitted via transplantation of organs obtained from persons with chronic infection, and occasional reports of this in Latin America [30] and in the United States [31, 32, 33, 34] have appeared.
The rate of congenital (transplacental) transmission from mothers with chronic T cruzi infection to their newborns is about 5%, with a range of 2-10% in various studies. [35] To date, no measures have been defined to reduce or eliminate this form of transmission. As transmission by vectors and through transfusion of contaminated blood have been reduced, the proportion of new T cruzi infections that result from congenital transmission has increased. Nonetheless, the total number of instances of congenital transmission certainly has decreased as seroprevalence rates have fallen. [36, 37, 38, 39, 40]
In contrast to Toxoplasma gondii, vertical transmission of T cruzi is possible with successive pregnancies. Transmission of T cruzi via human milk appears to be extremely rare, and chronic T cruzi infection is not a contraindication to breastfeeding. [41] Several instances of transmission of T cruzi to groups of people via ingestion of food or drink presumably contaminated with the feces of infected vectors have been reported. [42, 43, 44] Finally, the facility of producing infective forms of T cruzi in the laboratory has resulted in occasional accidental transmissions in this context, but none have been reported in many years. [2, 45]
Pathophysiology
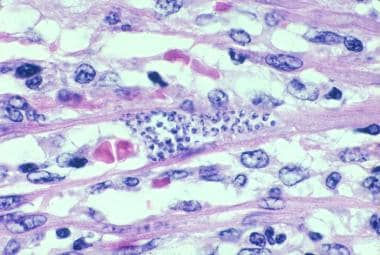
An inflammatory lesion called a chagoma caused by T cruzi may appear at the site of entry in patients with acute Chagas disease. Histologic changes may include interstitial edema, lymphocytic infiltration, and reactive hyperplasia of adjacent lymph nodes due to intracellular parasitism of muscle and other subcutaneous tissues. When parasitized host cells rupture, trypomastigotes are released and often can be detected by microscopic examination of anticoagulated blood. As the infection spreads systemically, muscles, including the myocardium, and various other tissues become parasitized. [46]
Acute myocarditis, consisting of patchy areas of necrosis and infected cells, may develop (see image below). [47, 48] The pseudocysts occasionally seen in sections of infected tissues are intracellular aggregates of amastigotes. The patent parasitemias of the acute illness may be accompanied by lymphocytosis, and transaminase levels may be elevated. The cerebrospinal fluid may contain parasites. [49]
Trypanosoma cruzi in heart muscle of a child who died of acute Chagas disease in Texas. (H&E, x900).

The heart is the most commonly affected organ in persons with chronic Chagas disease. [50, 51, 52, 53] Autopsy may reveal marked bilateral ventricular enlargement, often involving the right side more than the left, in the heart of patients who die of chagasic heart failure (see image below). The ventricular walls often are thin, and mural thrombi and apical aneurysms may be present. In addition, diffuse interstitial fibrosis, widespread lymphocytic infiltration, and atrophy of myocardial cells all may be present.
Chest radiograph of a Bolivian patient with chronic Trypanosoma cruzi infection, congestive heart failure, and rhythm disturbances. Pacemaker wires can be seen in the area of the left ventricle.

T cruzi parasites rarely are found during microscopic examination of stained sections of myocardial tissue; however, in numerous studies, T cruzi ‑specific polymerase chain reaction (PCR) assays have demonstrated parasites in areas of focal inflammation. [54, 55] Pathologic changes in the conduction systems of chronic chagasic hearts are common and often correlate with dysrhythmias. [56] Chronic inflammatory lesions and dense fibrosis frequently involve the right branch and the left anterior branch of the bundle of His, but lesions also may be found in other segments of the conduction system.
Salient features on gross examination of the colon or esophagus in patients with chronic chagasic gastrointestinal disease (megadisease) include dilatation and muscular hypertrophy of the affected organs (see images below). [57, 58, 59] Focal inflammatory lesions with lymphocytic infiltration are visible on microscopy. The number of neurons in the myenteric plexus often is markedly reduced, and periganglion and intraganglion fibrosis with accompanying Schwann cell proliferation, along with lymphocytosis, are present in most patients with megadisease. The functional effects of this parasympathetic denervation generally are limited to the esophagus or colon, although clinically manifest dysfunction of the ureters, biliary tree, and other hollow viscera has been reported. [60]
Barium swallow radiographic study of a Brazilian patient with chronic Trypanosoma cruzi infection and megaesophagus. The markedly increased diameter of the esophagus and its failure to empty are typical findings in patients with megaesophagus caused by Chagas disease. Courtesy of Dr. Franklin A. Neva, Bethesda, MD.

Air-contrast barium enema of a Bolivian patient with chronic Chagas disease and megacolon. The markedly increased diameters of the ascending, transverse, and sigmoid segments of the colon are readily apparent.

The pathogenesis of cardiac and gastrointestinal lesions of chronic Chagas disease was a focus of debate for decades. Beginning more than 20 years ago, however, convincing evidence has shown that low levels of parasites in chronically affected tissue, detectable with molecular methods, provoke a chronic inflammatory response that eventually leads to the pathologic changes observed microscopically and organ dysfunction. [54, 55, 61]
Epidemiology
Frequency
United States
Despite the presence of the sylvatic cycle of T cruzi transmission in the southern and southwestern United States, only 23 cases of autochthonous transmission of the parasite have been reported. [47, 62] Although some cases of T cruzi infection probably go unnoticed or unreported, autochthonous acute Chagas disease is rare in the United States. This concept is supported by the extreme rarity of T cruzi infection among US blood donors who were not born in or who have not traveled extensively in endemic countries. [63, 64, 65] The rarity of vector‑borne transmission of T cruzi to humans in the United States likely is due to the overall sparsity of vectors and the generally higher housing standards, which help prevent the vectors from becoming domiciliary. Despite this, triatomine insects have recently been reported as far north as Delaware [66] and the Carolinas. [67]
In contrast, the epidemiology of chronic T cruzi infection in the United States has changed markedly in the last few decades owing to the large number of people who have moved here from endemic countries. According to one recent estimate, 23 million persons from the endemic countries now live in the United States, 288,000 of whom have chronic T cruzi infection. [68, 69] Approximately two thirds of these immigrants are from Mexico, where the overall prevalence of T cruzi infection is 0.5-1%. [70, 71] Imported cases of acute Chagas disease are extremely rare. [72]
Five cases of transfusion-associated transmission of T cruzi were reported in the United States prior to the implementation of donor screening in 2007, [73] all of which occurred in immunocompromised patients. [74] Two additional such cases were found through trace-back studies after screening started. [75]
Two FDA‑approved tests are available for screening US blood donors for Chagas disease: the Ortho T cruzi ELISA Test System (Ortho Clinical Diagnostics, Rochester, NY) [76, 77] and the Abbott Prism/Alinity Chagas assay (Abbott Laboratories, Abbott Park, IL). [78] Donor samples positive in either of the two screening assays generally undergo confirmatory testing with the Abbott Enzyme Strip Assay (ESA) Chagas, which is the only FDA‑approved option for this purpose. [79, 80] The Chagas RIPA, [81, 82] which was used with FDA approval for confirmatory testing from 2007-2014, no longer is available for this purpose.
The data accumulated during the first 3 years of testing in the United States indicated that about 1 in every 13,000 US blood donors is infected with T cruzi (ie, repeat reactive in the Ortho or Abbott screening assays and positive in the Chagas RIPA or the Abbott ESA), [83] which is consistent with estimates made prior to the initiation of screening by groups familiar with the epidemiology of T cruzi in the United States. No instances of transfusion transmission of T cruzi in the United States are known to have occurred since donor screening was implemented.
Five recipients of organ transplants from 3 donors with T cruzi infection developed acute Chagas disease in the United States, one of whom died of the illness. [31, 32]
International
T cruzi is endemic in Mexico and all the countries of Central America and South America. The Caribbean Islands are not endemic. In 2023, PAHO/WHO estimated that a total of 7 million people are infected with T cruzi and that about 12,000 deaths each year can be attributed to Chagas disease. The total number of new T cruzi infections per year was estimated to be 30,000, fully 9,000 of which result from congenital transmission. Moreover, emigration of millions of people from endemic countries to nonendemic regions has resulted in several hundred thousand T cruzi–infected persons living in the latter areas, particularly in the United States and Europe. [84, 85, 86, 87, 88, 89, 90] To give a country‑specific perspective on the relative prevalence rates, in 2007, PAHO published the following data regarding the countries most affected by Chagas disease: Bolivia (6.8% prevalence); Argentina (4.1%); El Salvador (3.4%); Honduras (3.1%); Paraguay (2.5%); Guatemala (2%); Ecuador (1.7%); French Guyana, Guyana, and Surinam (1.2%); Venezuela (1.2%); Nicaragua (1.1%); Brazil (1%); and Mexico (1%). [91]
As noted above, in recent years, the epidemiology of T cruzi infection has improved markedly in many endemic countries, as blood bank and vector-control programs have been implemented. Because of the success of programs directed at domiciliary vector programs, prevalence rates in younger age groups have been decreasing substantially in many areas. [14, 15, 92, 93, 94, 95] All endemic countries have adopted statutory or regulatory mandates for screening donated blood for T cruzi, the most recent of which was Mexico. [29, 96]
In the author’s view, the enormous progress made in controlling Chagas disease in recent decades clearly indicates that the obstacles hindering the complete interruption of T cruzi transmission to humans are primarily economic and political. In this context, no additional major advances, such as a more detailed understanding of the pathogenesis of Chagas disease, [97, 98] further genetic analyses, [99, 100, 101, 102, 103, 104] novel diagnostic approaches, or breakthroughs in vaccine development, [105] appear to be necessary for its completion.
Mortality/Morbidity
Most of the estimated 12,000 deaths attributable to Chagas disease are due to chronic heart disease [51, 53, 106, 107] or, less frequently, megadisease or meningoencephalitis. [108] In persons with chronic chagasic heart disease, mortality primarily is due to the rhythm disturbances and congestive heart failure that result from the chronic inflammatory cardiomyopathy driven by the persistent presence of parasites in heart tissue. Embolization of intraventricular clots to the cerebrum and lungs can also contribute to mortality.
Persons with severe megaesophagus who do not receive medical attention can die of malnutrition and/or chronic aspiration pneumonitis. Megacolon (depicted in the image below) also can result in death, usually when volvulus develops and is not resolved surgically.
Chagas disease (American trypanosomiasis). Megacolon.

Race
T cruzi infection does not have a racial predilection.
Sex
T cruzi infection does not have a sexual predilection.
Age
Morbidity during the acute phase of Chagas disease is more pronounced in children than in adults. The gastrointestinal and cardiac manifestations of chronic T cruzi infection become apparent many years or even decades after initial infection and thus occur almost exclusively in adults. However, the lifetime risk for the development of such symptoms in chronically infected persons is only 10-30%. [109, 110]
Clinical Presentation
History
Incubation period
The incubation period of vector-borne acute Chagas disease is thought to be 7-14 days, but definitive data are not available because persons who live in areas of active transmission are generally continually at risk for exposure to the vectors. Although newly infected persons may be aware that their living quarters are infested by triatomine vectors, most blood meals are taken while people are asleep, so they are unlikely to recall being bitten.
The incubation period of acute T cruzi infection acquired through blood transfusion may be somewhat longer, but precise data are also lacking in this regard.
Acute phase
In most instances of acute T cruzi infection, a specific diagnosis is not made because of the nonspecific nature of the signs and symptoms and because most cases occur in poor people who have limited access to medical care.
Acute Chagas disease carries a mortality rate of less than 5%. However, even this is likely a high estimate, since acute Chagas disease rarely is diagnosed specifically; thus, the denominator for the calculation of the fatality rate is not known. As noted above, death typically is caused by myocarditis [47, 111] and, less commonly, by meningoencephalitis. [112]
Some persons develop bothersome inflammatory lesions at the bite sites presumably caused by the injected salivary proteins, but their presence is not necessarily indicative of T cruzi infection. [113, 114, 115, 116, 117]
In the vast majority of persons with acute Chagas disease, the manifestations resolve spontaneously within 4-8 weeks. This is followed by the chronic indeterminate (asymptomatic) phase of the disease (see image below).
Natural course of American trypanosomiasis. Courtesy of Dr. Patricia Paredes, Guadalajara, Jal., Mexico.

Indeterminate phase
By definition, the indeterminate phase of Chagas disease does not involve symptoms.
Most adults with T cruzi infection are unaware of their parasitosis, and a history consistent with acute Chagas disease from years prior rarely is given.
Persons who are diagnosed with indeterminate Chagas disease typically are identified through blood-donor screening or pre-employment serologic testing.
Chronic symptomatic Chagas disease
Ten to 30% of persons with chronic indeterminate Chagas disease develop clinical manifestations due to the infection. The most common and serious problems are cardiac, which are caused by an inflammatory cardiomyopathy that results from the persistent presence of the parasites in the heart.
Cardiac symptoms
A wide variety of atrial and ventricular rhythm disturbances, including right bundle branch block, left anterior hemiblock, and third-degree atrioventricular block can result in palpitations, dizziness, syncope, and even sudden death. [118, 119]
Cardiomyopathy and consequent congestive heart failure can result in shortness of breath, decreased exercise tolerance, easy fatigability, lower-extremity edema, and nocturia, as well as other signs and symptoms.
Thromboembolism can result in stroke, as well as pulmonary and arterial embolization to areas other than the brain. [120, 121, 122]
Gastrointestinal symptoms
The gastrointestinal symptoms associated with chronic T cruzi infection typically result from denervation of hollow viscera and consequent dysfunction.
Megaesophagus is the most common anatomic finding and typically results in symptoms similar to those of achalasia, such as dysphagia, odynophagia, substernal discomfort, and a sensation that ingested food and liquids do not move forward properly.
Megacolon usually results in constipation and pain, and some affected patients can go for long periods between bowel movements. In advanced cases, bowel obstruction and/or volvulus can occur, requiring surgical treatment.
Gastric dilatation in patients with Chagas disease has been described, as has megaureter, but these manifestations are relatively rare.
Physical
Acute phase
Symptoms of acute Chagas disease may include malaise, anorexia, myalgia, and headache, but many recently infected persons are asymptomatic.
Intermittent fevers occur, but they do not follow a specific pattern.
Some patients have lesions at the portal of entry of the parasites. Romaña sign (unilateral painless periorbital and palpebral edema) occurs when the parasites have contaminated the conjunctivae. Romaña sign is viewed as a classic sign of acute Chagas disease but develops in few newly infected persons. A chagoma, which is an indurated inflammatory skin lesion, may develop when parasites enter through a break in the skin. Romaña sign and chagomas may persist for several weeks. The lymph nodes that drain either of these lesions may be enlarged.
Hepatomegaly and splenomegaly may occur in children with acute Chagas disease, often accompanied by generalized lymphadenopathy.
Varying degrees of generalized edema may occur in acutely infected persons, particularly children.
Some patients with acute T cruzi infection develop a nonpruritic morbilliform rash called schizotrypanides.
Persistent tachycardia may be present.
Signs of acute myocarditis and resulting heart failure may develop in a small minority of patients with acute Chagas disease. [46, 47, 48]
Neurologic dysfunction may develop in acutely infected children with meningoencephalitis. [123]
Chronic phase
Any of the physical findings of acute T cruzi infection can occur in chronically infected persons in whom the infection is reactivating due to natural (HIV infection) or iatrogenic immunosuppression. [124, 125, 126, 127, 128, 129, 130, 131, 132] In such patients reactivation of the indolent T cruzi infection can occur in a manner and with a severity not seen in immunocompetent persons. [133, 134]
Chronic chagasic cardiomyopathy may manifest as the following:
Signs of congestion due to isolated left-sided heart failure may be present in the early stages of chronic chagasic cardiomyopathy. Biventricular failure with peripheral edema, hepatomegaly, ascites, and pulmonary congestion are more common in the later stages.
Signs of thromboembolism may appear, mostly with embolization to the brain, lungs, and extremities.
Chronic chagasic megaesophagus may manifest as the following:
Weight loss and, in severe cases, cachexia
Hypertrophy of the salivary glands
Pneumonitis related to regurgitation and aspiration of the food retained in the esophagus or stomach (particularly during sleep)
Erosive esophagitis, with increased risk for esophageal cancer
Chronic chagasic megacolon may manifest as the following:
Abdominal distention
Fecaloma
Signs of intestinal occlusion, sigmoid volvulus
Causes
It is not known which parasite characteristics or host factors cause some persons with chronic T cruzi infection to develop clinically apparent cardiac and gastrointestinal lesions (10‑30%), while others remain infected for life but do not develop symptoms related to the infection. This pattern of variable clinical penetrance is not particularly surprising, however, since it is similar to that observed in most other infectious diseases. Parasite strain, host immunogenetics, nutrition, age at first infection, other medical conditions, and various other factors may play roles in the pathogenesis of chronic symptomatic Chagas disease. There are no reliable predictors of whether an infected person in the indeterminate phase of T cruzi infection is likely to develop symptomatic disease, although this is an active area of research. [135, 136, 137, 138]
Differential Diagnoses
Acute Colonic Pseudoobstruction (Acute Megacolon, Ogilvie Syndrome)
Colonic Obstruction
Workup
Approach Considerations
The flowchart below depicts the management of risk for congenital Chagas disease.

Footnote 1. Mexico, as well as all nations of Central and South America, are endemic for Chagas disease. Chagas disease is not endemic in any of the Caribbean Islands. Women who were born in Chagas endemic countries or who have resided therein for a substantial period are at geographic risk for having Chagas disease and should be screened serologically.{Edwards MS, Montgomery SP. Congenital Chagas disease: progress toward implementation of pregnancy-based screening. Curr Opin Infect Dis. 2021 Oct 1. 34 (5):538-545}. In addition, women who are not themselves at geographic risk but whose mothers are at such a risk and are not known to be seronegative are in turn considered to be at risk for Chagas disease. Footnote 2. The two approaches useful in this regard are microscopic examination of anticoagulated blood and polymerase chain reaction (PCR). Serologic testing of newborns is not useful because assays for specific immunoglobulin G (IgG) will yield a positive result, reflecting the mother’s chronic infection, and because immunoglobulin M (IgM) assays lack acceptable levels of sensitivity and specificity. Footnote 3. All children born to at risk women should be tested serologically since several studies indicate that the rate of congenital Chagas disease in babies born to infected mothers is 2%-10%. Footnote 4. The latter should include periodic monitoring for signs and symptoms of chronic cardiac and gastrointestinal Chagas disease followed by appropriate interventions, when indicated. The usefulness of specific drug treatment in adults with chronic Trypanosoma cruzi infections has not been clearly demonstrated and is a matter of ongoing debate. Footnote 5. The parasitologic cure rate in babies with congenital Chagas disease approaches 100% when a full course of treatment is given during the first year of life. Footnote 6. The sensitivities of microscopic examination of anticoagulated blood and PCR are less than 100%. Thus, the occasional baby who tests negative in these approaches immediately after birth may actually be infected with T cruzi. Serologic testing for specific IgG should be delayed until maternal IgG has disappeared.
Laboratory Studies
The diagnosis of acute Chagas disease, which includes congenital Chagas disease and reactivation of chronic T cruzi infection in immunosuppressed persons, is based on direct detection of the parasites. In contrast, the diagnosis of chronic infection (indeterminate or chronic symptomatic phases) generally is based on serologic testing, since the low level of circulating parasites precludes microscopic detection and limits somewhat the sensitivity of PCR assays.
Parasitologic diagnosis
One useful method for identification of parasites in the blood is to put 1.5 µL of anticoagulated blood under a 12-mm circular cover slip and examine 200 fields under 400 X magnification. [139] This allows for the examination of 0.44 µL of blood with each round, which should take about 30 minutes of careful looking. The mobile trypomastigotes are translucent; thus, they are usually detected based on the corresponding movement of RBCs they cause. This approach has no set threshold for deciding that the result is negative. Simply stated, the greater the number of fields examined, the greater the probability of detecting a parasite in an acutely infected person.
Stained thin and thick blood smears may also be examined microscopically. The author is not aware of any comparative data that shed light on the relative sensitivity of examining stained smears versus wet preparations, although the movement of the parasites in the latter would seem to be advantageous.
Another method of evaluation involves using heparinized microhematocrit tubes. This method has been used extensively to test for congenital Chagas disease in infants born to chronically infected mothers. [140] The tubes typically are filled directly from the source and spun. The buffy coat at the interface of the plasma and RBCs then is examined microscopically. The curvature of the tube makes this somewhat difficult, but this problem can be resolved by cutting the tube and examining the buffy coat as if it were fresh blood. This latter procedure carries a risk for accidental transmission and thus should be performed only by experienced personnel.
Indirect parasitologic methods include xenodiagnosis and hemoculture.
In xenodiagnosis, 30-40 laboratory-reared insects are allowed to feed directly or indirectly on the blood of a person suspected to have Chagas disease. At least 1 month later, intestinal contents of the insects are extracted and examined microscopically for the presence of parasites. Xenodiagnosis is tedious, requires a long time to perform, and yields a sensitivity of only 50% in the best of hands.
Hemoculture, which involves a specialized liquid culture medium that is not available commercially, takes roughly the same amount of time as xenodiagnosis and has roughly the same level of sensitivity, but it is less tedious.
Neither xenodiagnosis nor hemoculture has any reasonable role in the diagnosis of acute Chagas disease, since the results are not available in time for short-term treatment decisions. In addition, their role in diagnosing chronic T cruzi infection is largely limited because of their insensitivity. However, these tests may have a role in resolving borderline serologic results or in evaluating treatment failures. Both hemoculture and xenodiagnosis are viewed increasingly as historical oddities.
Serologic diagnosis
Tests for anti– T cruzi immunoglobulin M (IgM) are not standardized, are not available commercially, and should play no role in the diagnosis of acute Chagas disease.
Serologic testing for specific IgG antibodies to T cruzi is the cornerstone of diagnosing chronic T cruzi infection.
Several dozen serologic assays are available in the endemic countries for testing clinical and donor specimens for chronic T cruzi infection. Several of these are available in nonendemic areas with substantial at‑risk immigrant populations. The most widely used today are indirect immunofluorescence (IIF), enzyme-linked immunosorbent assay (ELISA), and indirect hemagglutination, but assays based on other formats also are available. Most use lysates of epimastigotes as target antigens, but several are based on recombinant proteins. [82] At least a dozen rapid tests for diagnosing chronic T cruzi infection also have made it to market. [141]
To ensure accurate results, WHO Chagas experts and other authorities recommend that each specimen undergo testing with two types of assays, and this approach is generally followed for blood donor testing in endemic countries, although in Brazil a single‑assay testing protocol is used to screen donors.
In the United States, the Ortho T cruzi ELISA Test System and the Abbott Prism/Alinity Chagas Assay both are FDA‑approved for donor screening. [142]
From 2007 through 2014, the Chagas Radioimmune Precipitation Assay (Chagas RIPA) was performed by Quest Diagnostics for confirmatory testing of donor specimens that were repeat positive in the Ortho or Abbott screening assays. [81, 82] Currently, the Abbott Enzyme Strip Assay Chagas (ESA Chagas) is the only FDA‑approved assay available for confirmatory testing available in the United States. The Chagas RIPA is available for research and limited diagnostic testing in the author’s laboratory at the University of Iowa. [143]
Currently, in the United States four assays have FDA 510(k) approval for diagnostic testing for T cruzi infection: Hemagen Chagas’ Kit ELISA (Hemagen Diagnostics, Inc, Columbia, MD); Wiener Chagatest Recombinante v.3.0. ELISA (Laboratorios Wiener, Rosario, Argentina); InBios Chagas Detect Plus (CPD) rapid test lateral flow assay (LFA) (Inbios International, Inc, Seattle, WA), and as noted, the Ortho T cruzi ELISA test system (Ortho Clinical Diagnostics, Raritan, NJ).
Diagnosis via polymerase chain reaction assays
The use of PCR tests for detecting T cruzi has been studied extensively over the past 25 years, and dozens of articles have described this approach. [144, 145]
The use of many distinct primer pairs has been described; the accumulated evidence suggests that assays based on TCZ1/TCZ2 (nuclear repetitive sequence) [146] and S35/S35 (kDNA minicircle conserved region) [147] are the most sensitive.
Detailed methodologies for highly accurate PCR assays for T cruzi have been published. [148, 149, 150]
Although PCR assays generally yield better sensitivity rates than xenodiagnosis or hemoculture, they are not sensitive enough to justify their use for primary or confirmatory testing of blood donors or in diagnostic settings. The variable sensitivity likely is due to the extremely low parasitemias in chronically infected persons, resulting in the small blood samples taken for DNA extraction not containing even a single parasite.
Nonetheless, there are several settings in which PCR assays for detecting T cruzi play an important role. The first is in chronically infected patients who have been treated with benznidazole or nifurtimox. In this instance, a positive PCR result indicates treatment failure, but, given the variable sensitivity, a negative test is not meaningful unless the assay is performed repeatedly. Secondly, PCR assays for T cruzi can play a role in detecting acute Chagas disease, particularly congenital T cruzi infection, since their sensitivities have been shown to be greater than microscopic examination in several contexts. [151, 152, 153, 154] Finally, PCR assays are the method of choice for detecting T cruzi infection in insect vectors [155, 156] and in food suspected of being contaminated with parasites. [157]
Imaging Studies
No imaging studies are specific for Chagas disease. However, the manifestations of Chagas disease (eg, cardiac, esophageal, and colonic dysfunction) should be evaluated with the appropriate imaging studies, as they would be when they result from any disease process.
Other Tests
Electrocardiography and 24-hour continuous monitoring are the cornerstones of assessing possible dysrhythmias in patients with chronic T cruzi infection, as is the case with rhythm disturbances of any cause. Infected persons should undergo electrocardiography every 6-12 months to monitor for the development of ominous arrhythmias that would require management with drugs or pacemaker placement.
Esophageal manometry and endoscopy may be useful in assessing and managing patients with Chagas disease who have symptoms that suggest esophageal dysfunction. Endoscopy can be used to differentiate chagasic megaesophagus from other causes of esophageal dysfunction (eg, cancer).
Treatment & Management
Medical Care
The goals of therapy in persons with Trypanosoma cruzi infection are to eliminate the parasites with specific drug treatment and to manage the signs and symptoms that result from the largely irreversible lesions associated with the disease. In 2017, benznidazole was approved by the FDA for the treatment of Chagas disease caused by T cruzi in children aged 2-12 years. Its safety and efficacy were established in two placebo-controlled clinical trials in children aged 6-12 years. In these trials, antibody test results changed from positive to negative in approximately 55-60% of children treated with benznidazole, compared with approximately 5-14% who received placebo. An additional study of the safety and pharmacokinetics of benznidazole provided information for dosing recommendations in children as young as 2 years. [158, 159]
Nifurtimox gained FDA approval in 2020 for pediatric patients (birth to younger than 18 years who weigh at least 2.5 kg) for the treatment of T cruzi infection. Approval for nifurtimox was based on the number of treated patients who became IgG antibody negative or who showed an at least 20% decrease in optical density on 2 different IgG antibody tests against antigens of T cruzi. [160] No other drugs, either alone or in combination with nifurtimox or benznidazole, have been approved for treating T cruzi infection. [161, 162, 163]
For the most part, both benznidazole and nifurtimox are limited in their capacity to effect parasitologic cure, especially in chronically infected patients (see below). It merits mention that prescribing benznidazole or nifurtimox for patients who do not fall within the age ranges specified in their corresponding FDA approvals constitutes off‑label use.
Acute Chagas disease
Consistent with WHO 2022 and current CDC recommendations, all patients with acute Chagas disease, including infants with congenital infection and persons with reactivation of chronic infections due to immunosuppression, should be treated with either benznidazole or nifurtimox. Responses to treatment of patients with reactivation is best monitored by PCR assay. [164]
In general, the younger the patient and the closer to acquisition of the infection, the higher the probability of parasitologic cure. Babies with congenital Chagas disease have the greatest chance for cure. Data from Argentina show that the cure rate exceeds 90% if treatment is given within the first year of life. [165] Some sources have stated that the overall parasitologic cure rate in persons with acute Chagas disease is 70%, but the author is unaware of specific data that support this estimate.
The usefulness of corticosteroids or interferon-γ in patients with acute Chagasic myocarditis or meningoencephalitis has not been established.
Indeterminate-phase Chagas disease
The current evidence‑based consensus concerning treatment of T cruzi infection is that chronically infected children and adolescents up to 18 years of age should be treated with either benznidazole or nifurtimox. Convincing data from trials in Argentina and Brazil indicate that a substantial proportion of these patients will be cured parasitologically. [36, 166, 167]
In addition, there is broad agreement that all women of child‑bearing age should be given a full course of treatment. This recommendation is based on convincing evidence that has accumulated over the last decade indicating that the treatment of girls and women of child‑bearing age infected with T cruzi markedly reduces the probability of congenital transmission to their babies conceived after treatment. [168, 169, 170, 171, 172, 173, 174]
It is noteworthy that a substantial proportion of the girls and women in these trials treated prior to pregnancy likely were not cured parasitologically, and in some instances many years had gone by between the treatment and the pregnancies. These data indicate clearly that specific pre-pregnancy treatment of chronic T cruzi infection has a marked suppressive effect on the likelihood of subsequent congenital transmission, and it seems likely that treating all infected women of child-bearing age who are not pregnant will become the standard of care. In view of the potential fetal toxicity of benznidazole and nifurtimox, care must be taken to establish that chronically infected women are not pregnant when treatment is started and that they do not become pregnant during treatment.
In contrast to the largely good news related to the utility of treating children, adolescents, and women of child bearing age, the probability of parasitologic cure with a full course of either drug in adults with long-standing T cruzi infection, including persons in the indeterminate phase and those with manifest chagasic symptoms, most of whom presumably were infected while quite young, actually may be less than 10%. [175, 176, 177, 178, 179, 180, 181] Moreover, determining which treated patients are cured is challenging, since treatment suppresses parasitemias, as reflected in reduced rates of positivity in post‑treatment PCR assays, [182] as well as in xenodiagnosis and hemoculture. To further complicate this issue, levels of anti–T cruzi antibodies can remain positive for years even in cured patients. [149, 183]
Until recently, data from properly structured randomized clinical trials (RCTs) that assess the effect of specific treatment outcomes in chronically infected adults have been lacking. A detailed discussion of this issue took place in 2006 at a 2-day meeting convened by the CDC of an expert panel from several endemic countries and the United States, in which the author of this article was a participant. In the guidance document that resulted from that meeting, [166] the panel recommended that treatment be offered to chronically infected adults with at most mild clinical disease, and that, after discussion of the risks and possible benefits, treatment decisions be shared by patients and caregivers. This tepid recommendation was accompanied by references to a review that summarized data suggestive of treatment efficacy from several studies [184] and to the then recent report of a nonrandomized and unblinded benznidazole treatment trial that showed a hint of efficacy. [185] An important background issue that was considered in the discussion of treatment efficacy at the meeting was the well-established observation that treatment of chronically infected persons generally suppressed parasitemias and prompted the hopeful assumption that this might lead to better clinical outcomes.
A major step forward in assessing the effect of specific treatment was taken in 2015 by the publication of the results of the Benznidazole Evaluation for Interrupting Trypanosomiasis (BENEFIT) trial. [186, 187] In this blinded, placebo‑controlled trial of benznidazole versus placebo performed in Brazil, Argentina, Bolivia, and Colombia, 2,854 T cruzi–infected patients with mild cardiac disease were followed for a mean of 5.4 years. As expected, parasite detection as indicated by PCR assay was suppressed; however, benznidazole did not significantly reduce cardiac clinical deterioration or death rates. In view of these results and others published more recently, [188, 189] specific treatment of adults with chronic T cruzi infection and mild cardiac disease cannot be recommended. Moreover, the BENEFIT results clearly showed that, at least in persons with mild cardiac disease associated with chronic T cruzi infection, suppression of parasitemias, which was clearly documented in the benznidazole arm, was not a marker for better clinical outcomes. In summary, a variety of heterogeneous trials that addressed the thorny issue of whether to treat patients with indeterminate T cruzi infection have been conducted both before and after BENEFIT, but unfortunately the question remains largely unresolved. [190] Importantly, for technical reasons related to study design, no patients in the indeterminate phase of chronic T cruzi infection were included in the BENEFIT trial, and in the years since the report of the trial was published no convincing data from other RCTs have been published that address the question of the usefulness of treating indeterminate phase persons. [191]
To summarize the current institutional positions regarding the treatment of adults with indeterminate phase T cruzi infection, the recommendations of WHO 2022 [192] and PAHO 2023, [193] are largely similar to those published following the 2006 CDC meeting. [166] The lack of certainty of benefit, the long course of treatment, and the frequent and sometimes serious adverse reactions to benznidazole and nifurtimox all should be weighed carefully in the process of deciding to recommend treatment or not. A substantial proportion of patients treated with nifurtimox have bothersome side effects. [194] Although nifurtimox lowers parasitemias and anti‑T cruzi antibody levels in a considerable proportion of treated patients, its long-term benefits have not been clearly established. [195, 196] Finally, it merits recalling here that the FDA approvals of benznidazole and nifurtimox are limited to children and adolescents. This situation likely reflects the reality that the data suggesting that the treatment of adults with chronic T cruzi infection might be beneficial are of low quality, making any recommendations favoring treatment controversial. [197]
No information is available on which to base guidance for prophylactic treatment of chronic infection in persons who will undergo immunosuppression (eg, pre‑transplant) or in persons who are already immunosuppressed (eg, post‑transplant and persons with HIV).
Chronic symptomatic Chagas disease
There is a general consensus among Chagas experts that persons who have already developed cardiac or gastrointestinal symptoms should not be given antiparasitic treatment.
General medical treatment
As with diagnostic procedures, the medical treatment of cardiac and gastrointestinal signs and symptoms attributable to Chagas disease is similar to that instituted for similar problems caused by other etiologies. Such patients should be referred to appropriate subspecialists for evaluation and management.
Surgical Care
Cardiopathy
Atrial and ventricular rhythm disturbances may require pacemaker placement. Ablation procedures for tachyarrhythmias, as well as implanted defibrillators, have been used in some patients with Chagas disease. However, the benefits and risks of implantable cardioverter devices (ICDs) in patients with advanced Chagas heart disease is controversial and requires further study in properly structured trials. [107, 198, 199, 200, 201, 202, 203, 204, 205] The usefulness of resection of the left ventricular apical aneurysms that develop in some patients with Chagas cardiomyopathy has not been established.
Cardiac transplantation is an option for some patients with end-stage Chagas heart disease, and hundreds of such patients have undergone this procedure in Argentina, Brazil, and the United States. [206, 207, 208] Not surprisingly, T cruzi has been found in endomyocardial biopsies of transplant recipients, thus raising the possibility of early failure of the transplanted hearts due to invasion of parasites. [209] It is notable that the survival rate among patients with Chagas disease who have undergone cardiac transplantation is comparable to that in the general group of patients who have undergone cardiac transplantation for other reasons. [210, 211]
Megaesophagus
Patients with chagasic megaesophagus in whom esophageal dilatation is inadequate often undergo wide esophagocardiomyectomy of the anterior gastroesophageal junction, combined with valvuloplasty to reduce reflux. [58, 212, 213] Laparoscopic myotomy is being used increasingly to manage severe megaesophagus. Partial esophageal resection with reconstruction with esophagogastroplasty has been used in extreme cases. [214, 215]
Megacolon
Patients with severe chagasic megacolon may benefit from the Duhamel-Haddad operation typically used in the treatment of idiopathic congenital megacolon. [216]
In some cases, patients with sigmoid volvulus awaiting the Duhamel-Haddad procedure have undergone anterior sigmoidostomy with an eventual resection of the necrosed segment. [217]
Consultations
Depending on the phase of T cruzi infection, the following consultations may be appropriate:
Infectious diseases specialist
Cardiologist and cardiac surgeon
Gastroenterologist and general surgeon
Diet
A diet appropriate for patients with congestive heart failure should be recommended as appropriate.
Ingestion of warm and pasty food, in small volumes with water, is recommended in patients with megaesophagus. Such patients should not eat in the hours before bedtime to reduce the likelihood of regurgitation and aspiration.
A high-fiber diet is recommended in patients with chagasic megacolon.
Activity
Activity should be as tolerated.
Medication Summary
The goals of pharmacotherapy are to eradicate the infection, to prevent the development of or progression of clinical manifestations, and to reduce morbidity and mortality.
Antiprotozoal agents
These agents are used to treat infections caused by the protozoan T cruzi.
Nitroimidazole antimicrobial. Generates radical species in both aerobic and anaerobic conditions that are capable of damaging parasitic DNA. Inhibits DNA, RNA, and protein synthesis within the T cruzi parasite. Studies suggest benznidazole is reduced by a type I nitroreductase (NTR) enzyme of T cruzi, producing a series of short-lived intermediates that may promote damage to several macromolecules, including DNA. Approved by the FDA for treatment of Chagas disease in children aged 2-12 years. There is a general consensus in favor of antiparasitic treatment for all cases of acute or reactivated Chagas disease, for chronic T cruzi infection of children up to age 18 years, and for all women of child‑bearing age. Data regarding the efficacy of treating adults aged 50 years or younger with benznidazole are of low quality, and thus such treatment is controversial. As noted, there is a general consensus that persons who already have developed cardiac or gastrointestinal symptoms should not be given antiparasitic treatment. Repeated PCR testing can be used to look for treatment failure.
Trypanocidal drug that acts on circulating trypomastigotes, as well as intracellular amastigotes. The mechanism of action may depend on the formation of nitro anion radicals, but precise details are not known. Approved by the FDA for treatment of Chagas disease in children from birth to age 18. The guidance regarding which groups of T cruzi‑infected persons can be treated with nifurtimox are the same as those listed above for benznidazole. As is the case for persons treated with the latter, evidence of treatment failure can be sought with repeated PCR testing.
Follow-up
Further Outpatient Care
Monitor infants born to mothers with T cruzi infection. Infants who are parasite-negative at birth should be tested serologically at 6 and 9 months, after maternal antibodies have disappeared. Treatment should be instituted when results are positive.
Persons with chronic T cruzi infection should undergo electrocardiography every 6-12 months to look for dysrhythmias (see Other Tests).
Patients with clinically manifest cardiac or gastrointestinal Chagas disease should be managed by appropriate specialists (see Consultations).
Weekly white blood cell counts should be performed in patients being treated with benznidazole to evaluate for agranulocytosis.
Immunosuppressed persons with T cruzi infection who have unexplained febrile illnesses should be evaluated parasitologically for reactivation of the infection.
Further Inpatient Care
The level of care depends on the clinical condition of the patient.
Deterrence/Prevention
Collective prophylaxis
No vaccination is available for T cruzi infection, and primary chemoprophylaxis in persons who plan to visit endemic regions is not recommended because of the extremely low risk for the infection in such circumstances (Only 5 such cases have been reported.). [218, 219, 220]
It has been demonstrated in much of the endemic range that a major reduction of vector-borne transmission of T cruzi to humans can be achieved through improvement of housing conditions, use of residual insecticides, and education of persons at risk of acquiring the infection.
Transmission of T cruzi via transfusion of contaminated blood has been largely eliminated with serologic identification and permanent deferral of infected donors.
Although some risk factors for congenital transmission of T cruzi have been identified, [38, 221] no approaches for reducing this risk during pregnancy have been defined. As noted, the rate of congenital transmission of T cruzi is markedly reduced by prior treatment. The critical elements in controlling congenital Chagas disease, beyond reducing the prevalence of chronic T cruzi infection in women of childbearing age and treating them with benznidazole prior to pregnancy, are the thorough parasitologic and serologic evaluation of babies born to mothers with T cruzi infection and treating the ones who are determined to be infected.
Personal prophylaxis
Secondary chemoprophylaxis to reduce the risk for reactivation of T cruzi infection in persons with concomitant HIV infection is not recommended.
Laboratory personnel who work with T cruzi or infected vectors should take protective measures appropriate for this risk group 2 organism.
Persons who travel to endemic areas should avoid sleeping in primitive buildings and should take general measures to protect themselves from insects.
Complications
Complications include the following:
Acute phase - Myocarditis, meningoencephalitis
Chronic chagasic cardiomyopathy – Rhythm disturbances, congestive heart failure, apical aneurysm, thromboembolism, sudden death
Chronic chagasic megaesophagus - Poor nutrition, esophagitis, esophageal cancer
Chronic chagasic megacolon - Fecaloma, volvulus of sigmoid colon, toxic megacolon
Prognosis
The overall prognosis among persons in the indeterminate phase of T cruzi infection is good, given that only 10-30% of infected persons ever develop signs and symptoms attributable to the disease, and those who do are generally asymptomatic for decades prior to developing cardiac or gastrointestinal problems.
Patient Education
Education of at-risk persons living in areas of active transmission is a key element in reducing the incidence of new infections. Data suggest that making dogs sleep outside homes can be an important factor in reducing transmission, [28] although a much more important measure would be to exterminate the domiciliary vectors.
References
Chagas C. Coletanea de Trabalhos Cientificos. Brasilia: Editora Universidade de Brasilia; 1981.
Kinoshita-Yanaga AT, Toledo MJ, Araújo SM, Vier BP, Gomes ML. Accidental infection by Trypanosoma cruzi follow-up by the polymerase chain reaction: case report. Rev Inst Med Trop Sao Paulo. 2009 Sep-Oct. 51 (5):295-8. [QxMD MEDLINE Link].
El-Sayed NM, Myler PJ, Bartholomeu DC, et al. The genome sequence of Trypanosoma cruzi, etiologic agent of Chagas disease. Science. 2005 Jul 15. 309(5733):409-15. [QxMD MEDLINE Link].
Diosque P, Tomasini N, Lauthier JJ, Messenger LA, Monje Rumi MM, Ragone PG, et al. Optimized multilocus sequence typing (MLST) scheme for Trypanosoma cruzi. PLoS Negl Trop Dis. 2014 Aug. 8(8):e3117. [QxMD MEDLINE Link].[Full Text].
Zingales B, Andrade SG, Briones MR, Campbell DA, Chiari E, Fernandes O, et al. A new consensus for Trypanosoma cruzi intraspecific nomenclature: second revision meeting recommends TcI to TcVI. Mem Inst Oswaldo Cruz. 2009 Nov. 104 (7):1051-4. [QxMD MEDLINE Link].
Vela A, Coral-Almeida M, Sereno D, Costales JA, Barnabé C, Brenière SF. In vitro susceptibility of Trypanosoma cruzi discrete typing units (DTUs) to benznidazole: A systematic review and meta-analysis. PLoS Negl Trop Dis. 2021 Mar. 15 (3):e0009269. [QxMD MEDLINE Link].
Casares-Marfil D, Kerick M, Andrés-León E, Bosch-Nicolau P, Molina I, Chagas Genetics CYTED Network, et al. GWAS loci associated with Chagas cardiomyopathy influences DNA methylation levels. PLoS Negl Trop Dis. 2021 Oct. 15 (10):e0009874. [QxMD MEDLINE Link].
Casares-Marfil D, Strauss M, Bosch-Nicolau P, Lo Presti MS, Molina I, Chevillard C, et al. A Genome-Wide Association Study Identifies Novel Susceptibility loci in Chronic Chagas Cardiomyopathy. Clin Infect Dis. 2021 Aug 16. 73 (4):672-679. [QxMD MEDLINE Link].
Sabino EC, Franco LAM, Venturini G, et al. Genome-wide association study for Chagas Cardiomyopathy identify a new risk locus on chromosome 18 associated with an immune-related protein and transcriptional signature. PLoS Negl Trop Dis. 2022 Oct. 16 (10):e0010725. [QxMD MEDLINE Link].
Gibson W, Stevens J. Genetic exchange in the trypanosomatidae. Adv Parasitol. 1999. 43:1-46. [QxMD MEDLINE Link].
Messenger LA, Yeo M, Lewis MD, Llewellyn MS, Miles MA. Molecular genotyping of Trypanosoma cruzi for lineage assignment and population genetics. Methods Mol Biol. 2015. 1201:297-337. [QxMD MEDLINE Link].
Lent H, Wygodzinsky P. Revision of the Triatominae (Hemiptera, Reduviidae), and their significance as vectors of Chagas' disease. Bull Am Museum Natural History. 1979. 163:123-520.
Klotz SA, Dorn PL, Mosbacher M, Schmidt JO. Kissing bugs in the United States: risk for vector-borne disease in humans. Environ Health Insights. 2014. 8 (Suppl 2):49-59. [QxMD MEDLINE Link].
Matos CS, Santos Júnior JE, Medeiros FA, Furtado E, Dias JC. Current situation and perspectives regarding human Chagas disease in midwestern of the state of Minas Gerais, Brazil. Mem Inst Oswaldo Cruz. 2014 Jun. 109 (3):374-8. [QxMD MEDLINE Link].
Lopes Pda S, Ramos EL, Gómez-Hernández C, Ferreira GL, Rezende-Oliveira K. PREVALENCE OF CHAGAS DISEASE AMONG BLOOD DONOR CANDIDATES IN TRIANGULO MINEIRO, MINAS GERAIS STATE, BRAZIL. Rev Inst Med Trop Sao Paulo. 2015 Dec. 57 (6):461-5. [QxMD MEDLINE Link].
Hashimoto K, Schofield CJ. Elimination of Rhodnius prolixus in Central America. Parasit Vectors. 2012 Feb 22. 5:45. [QxMD MEDLINE Link].[Full Text].
Cartelle Gestal M, Holban AM, Escalante S, Cevallos M. Epidemiology of Tropical Neglected Diseases in Ecuador in the Last 20 Years. PLoS One. 2015. 10 (9):e0138311. [QxMD MEDLINE Link].
Gorchakov R, Trosclair LP, Wozniak EJ, Feria PT, Garcia MN, Gunter SM, et al. Trypanosoma cruzi Infection Prevalence and Bloodmeal Analysis in Triatomine Vectors of Chagas Disease From Rural Peridomestic Locations in Texas, 2013-2014. J Med Entomol. 2016 Apr 22. [QxMD MEDLINE Link].
Curtis-Robles R, Lewis BC, Hamer SA. High Trypanosoma cruzi infection prevalence associated with minimal cardiac pathology among wild carnivores in central Texas. Int J Parasitol Parasites Wildl. 2016 Aug. 5 (2):117-23. [QxMD MEDLINE Link].
Orozco MM, Enriquez GF, Cardinal MV, Piccinali RV, Gürtler RE. A comparative study of Trypanosoma cruzi infection in sylvatic mammals from a protected and a disturbed area in the Argentine Chaco. Acta Trop. 2016 Mar. 155:34-42. [QxMD MEDLINE Link].
Jaimes-Dueñez J, Jiménez-Leaño ÁP, Esteban-Mendoza M, Moreno-Salcedo LA, Triana-Chávez O, Cantillo-Barraza O. Epidemiological and clinical characteristics of Trypanosoma cruzi infection in dogs (Canis lupus familiaris) from a Chagas Disease-Endemic Urban Area in Colombia. Prev Vet Med. 2020 Sep. 182:105093. [QxMD MEDLINE Link].
Meyers AC, Edwards EE, Sanders JP, Saunders AB, Hamer SA. Fatal Chagas myocarditis in government working dogs in the southern United States: Cross-reactivity and differential diagnoses in five cases across six months. Vet Parasitol Reg Stud Reports. 2021 Apr. 24:100545. [QxMD MEDLINE Link].
Torres-Castro M, Cuevas-Koh N, Hernández-Betancourt S, Noh-Pech H, Estrella E, Herrera-Flores B, et al. Natural infection with Trypanosoma cruzi in bats captured in Campeche and Yucatán, México. Biomedica. 2021 May 31. 41 (Supl. 1):131-140. [QxMD MEDLINE Link].
Busselman RE, Hamer SA. Chagas Disease Ecology in the United States: Recent Advances in Understanding Trypanosoma cruzi Transmission Among Triatomines, Wildlife, and Domestic Animals and a Quantitative Synthesis of Vector-Host Interactions. Annu Rev Anim Biosci. 2022 Feb 15. 10:325-348. [QxMD MEDLINE Link].
Barr SC, Van Beek O, Carlisle-Nowak MS, Lopez JW, Kirchhoff LV, Allison N, et al. Trypanosoma cruzi infection in Walker hounds from Virginia. Am J Vet Res. 1995 Aug. 56 (8):1037-44. [QxMD MEDLINE Link].
Bradley KK, Bergman DK, Woods JP, et al. Prevalence of American trypanosomiasis (Chagas disease) among dogs in Oklahoma. J Am Vet Med Assoc. 2000 Dec 15. 217(12):1853-7. [QxMD MEDLINE Link].
Tenney TD, Curtis-Robles R, Snowden KF, Hamer SA. Shelter dogs as sentinels for Trypanosoma cruzi transmission across Texas. Emerg Infect Dis. 2014 Aug. 20(8):1323-6. [QxMD MEDLINE Link].[Full Text].
Cohen JE, Gürtler RE. Modeling household transmission of American trypanosomiasis. Science. 2001 Jul 27. 293(5530):694-8. [QxMD MEDLINE Link].
Sánchez-González G, Figueroa-Lara A, Elizondo-Cano M, Wilson L, Novelo-Garza B, Valiente-Banuet L, et al. Cost-Effectiveness of Blood Donation Screening for Trypanosoma cruzi in Mexico. PLoS Negl Trop Dis. 2016 Mar. 10 (3):e0004528. [QxMD MEDLINE Link].
Souza FF, Castro-E-Silva O, Marin Neto JA, Sankarankutty AK, Teixeira AC, Martinelli AL, et al. Acute chagasic myocardiopathy after orthotopic liver transplantation with donor and recipient serologically negative for Trypanosoma cruzi: a case report. Transplant Proc. 2008 Apr. 40 (3):875-8. [QxMD MEDLINE Link].
Centers for Disease Control and Prevention. Chagas disease after organ transplantation--United States, 2001. MMWR Morb Mortal Wkly Rep. 2002 Mar 15. 51(10):210-2. [QxMD MEDLINE Link].
Centers for Disease Control and Prevention. Chagas disease after organ transplantation--Los Angeles, California, 2006. MMWR Morb Mortal Wkly Rep. 2006 Jul 28. 55(29):798-800. [QxMD MEDLINE Link].
Chin-Hong PV, Schwartz BS, Bern C, Montgomery SP, Kontak S, Kubak B, et al. Screening and treatment of chagas disease in organ transplant recipients in the United States: recommendations from the chagas in transplant working group. Am J Transplant. 2011 Apr. 11 (4):672-80. [QxMD MEDLINE Link].
Corey AB, Sonetti D, Maloney JD, Montgomery SP, Rademacher BL, Taylor LJ, et al. Transmission of Donor-Derived Trypanosoma cruzi and Subsequent Development of Chagas Disease in a Lung Transplant Recipient. Case Rep Infect Dis. 2017. 2017:5381072. [QxMD MEDLINE Link].
Howard EJ, Xiong X, Carlier Y, Sosa-Estani S, Buekens P. Frequency of the congenital transmission of Trypanosoma cruzi: a systematic review and meta-analysis. BJOG. 2014 Jan. 121 (1):22-33. [QxMD MEDLINE Link].
Schijman AG, Altcheh J, Burgos JM, et al. Aetiological treatment of congenital Chagas' disease diagnosed and monitored by the polymerase chain reaction. J Antimicrob Chemother. 2003 Sep. 52(3):441-9. [QxMD MEDLINE Link].
Jackson Y, Myers C, Diana A, Marti HP, Wolff H, Chappuis F, et al. Congenital transmission of Chagas disease in Latin American immigrants in Switzerland. Emerg Infect Dis. 2009 Apr. 15(4):601-3. [QxMD MEDLINE Link].[Full Text].
Bern C, Verastegui M, Gilman RH, Lafuente C, Galdos-Cardenas G, Calderon M, et al. Congenital Trypanosoma cruzi transmission in Santa Cruz, Bolivia. Clin Infect Dis. 2009 Dec 1. 49(11):1667-74. [QxMD MEDLINE Link].
Soriano-Arandes A, Angheben A, Serre-Delcor N, Treviño-Maruri B, Gómez I Prat J, Jackson Y. Control and management of congenital Chagas disease in Europe and other non-endemic countries: current policies and practices. Trop Med Int Health. 2016 May. 21 (5):590-6. [QxMD MEDLINE Link].
Alarcón A, Morgan M, Montgomery SP, Scavo L, Wong EC, Hahn A, et al. Diagnosis and Treatment of Congenital Chagas Disease in a Premature Infant. J Pediatric Infect Dis Soc. 2016 Dec. 5 (4):e28-e31. [QxMD MEDLINE Link].
Norman FF, López-Vélez R. Chagas disease and breast-feeding. Emerg Infect Dis. 2013 Oct. 19 (10):1561-6. [QxMD MEDLINE Link].
Xavier SC, Roque AL, Bilac D, de Araújo VA, Neto SF, Lorosa ES, et al. Distantiae transmission of Trypanosoma cruzi: a new epidemiological feature of acute Chagas disease in Brazil. PLoS Negl Trop Dis. 2014 May. 8(5):e2878. [QxMD MEDLINE Link].[Full Text].
Villamil-Gómez WE, Echeverría LE, Ayala MS, Muñoz L, Mejía L, Eyes-Escalante M, et al. Orally transmitted acute Chagas disease in domestic travelers in Colombia. J Infect Public Health. 2016 May 30. [QxMD MEDLINE Link].
Robertson LJ, Devleesschauwer B, Alarcón de Noya B, Noya González O, Torgerson PR. Trypanosoma cruzi: Time for International Recognition as a Foodborne Parasite. PLoS Negl Trop Dis. 2016 Jun. 10 (6):e0004656. [QxMD MEDLINE Link].
Herwaldt BL. Laboratory-acquired parasitic infections from accidental exposures. Clin Microbiol Rev. 2001 Oct. 14 (4):659-88, table of contents. [QxMD MEDLINE Link].
Bern C, Martin DL, Gilman RH. Acute and congenital Chagas disease. Adv Parasitol. 2011. 75:19-47. [QxMD MEDLINE Link].
Ochs DE, Hnilica VS, Moser DR, et al. Postmortem diagnosis of autochthonous acute chagasic myocarditis by polymerase chain reaction amplification of a species-specific DNA sequence of Trypanosoma cruzi. Am J Trop Med Hyg. 1996 May. 54(5):526-9. [QxMD MEDLINE Link].
Parada H, Carrasco HA, Anez N, et al. Cardiac involvement is a constant finding in acute Chagas' disease: a clinical, parasitological and histopathological study. Int J Cardiol. 1997 Jun 27. 60(1):49-54. [QxMD MEDLINE Link].
Hoff R, Teixeira RS, Carvalho JS, et al. Trypanosoma cruzi in the cerebrospinal fluid during the acute stage of Chagas' disease. N Engl J Med. 1978 Mar 16. 298(11):604-6. [QxMD MEDLINE Link].
Marin-Neto JA, Cunha-Neto E, Maciel BC, Simões MV. Pathogenesis of chronic Chagas heart disease. Circulation. 2007 Mar 6. 115(9):1109-23. [QxMD MEDLINE Link].
Rassi A Jr, Rassi A, Marin-Neto JA. Chagas disease. Lancet. 2010 Apr 17. 375(9723):1388-402. [QxMD MEDLINE Link].
Hidron A, Vogenthaler N, Santos-Preciado JI, Rodriguez-Morales AJ, Franco-Paredes C, Rassi A Jr. Cardiac involvement with parasitic infections. Clin Microbiol Rev. 2010 Apr. 23 (2):324-49. [QxMD MEDLINE Link].
Tanowitz HB, Machado FS, Spray DC, Friedman JM, Weiss OS, Lora JN, et al. Developments in the management of Chagas cardiomyopathy. Expert Rev Cardiovasc Ther. 2015 Dec. 13 (12):1393-409. [QxMD MEDLINE Link].
Zhang L, Tarleton RL. Parasite persistence correlates with disease severity and localization in chronic Chagas' disease. J Infect Dis. 1999 Aug. 180(2):480-6. [QxMD MEDLINE Link].
Benvenuti LA, Roggério A, Freitas HF, Mansur AJ, Fiorelli A, Higuchi ML. Chronic American trypanosomiasis: parasite persistence in endomyocardial biopsies is associated with high-grade myocarditis. Ann Trop Med Parasitol. 2008 Sep. 102 (6):481-7. [QxMD MEDLINE Link].
Andrade ZA, Andrade SG, Oliveira GB, et al. Histopathology of the conducting tissue of the heart in Chagas' myocarditis. Am Heart J. 1978 Mar. 95(3):316-24. [QxMD MEDLINE Link].
Isselbacher EM, Kligerman SJ, Lam KM, Hurtado RM. Case records of the Massachusetts General Hospital. Case 2-2010. A 47-year-old man with abdominal and flank pain. N Engl J Med. 2010 Jan 21. 362 (3):254-62. [QxMD MEDLINE Link].
Remes-Troche JM, Torres-Aguilera M, Antonio-Cruz KA, Vazquez-Jimenez G, De-La-Cruz-Patiño E. Esophageal motor disorders in subjects with incidentally discovered Chagas disease: a study using high-resolution manometry and the Chicago classification. Dis Esophagus. 2014 Aug. 27 (6):524-9. [QxMD MEDLINE Link].
Lara Romero C, Ferreiro Argüelles B, Romero Pérez E. Acute colonic complications in a patient with Chagas disease. Rev Esp Enferm Dig. 2016 Apr 29. 108:[QxMD MEDLINE Link].
Bey E, Paucara Condori MB, Gaget O, Solano P, Revollo S, Saussine C, et al. Lower urinary tract dysfunction in chronic Chagas disease: clinical and urodynamic presentation. World J Urol. 2019 Jul. 37 (7):1395-1402. [QxMD MEDLINE Link].
Añez N, Carrasco H, Parada H, et al. Myocardial parasite persistence in chronic chagasic patients. Am J Trop Med Hyg. 1999 May. 60(5):726-32. [QxMD MEDLINE Link].
Dorn PL, Perniciaro L, Yabsley MJ, et al. Autochthonous transmission of Trypanosoma cruzi, Louisiana. Emerg Infect Dis. 2007 Apr. 13(4):605-7. [QxMD MEDLINE Link].[Full Text].
Turabelidze G, Vasudevan A, Rojas-Moreno C, Montgomery SP, Baker M, Pratt D, et al. Autochthonous Chagas Disease - Missouri, 2018. MMWR Morb Mortal Wkly Rep. 2020 Feb 21. 69 (7):193-195. [QxMD MEDLINE Link].
Lynn MK, Dye-Braumuller KC, Beatty NL, Dorn PL, Klotz SA, Stramer SL, et al. Evidence of likely autochthonous Chagas disease in the southwestern United States: A case series of Trypanosoma cruzi seropositive blood donors. Transfusion. 2022 Sep. 62 (9):1808-1817. [QxMD MEDLINE Link].
Bern C, Messenger LA, Whitman JD, Maguire JH. Chagas Disease in the United States: a Public Health Approach. Clin Microbiol Rev. 2019 Dec 18. 33 (1):[QxMD MEDLINE Link].
Eggers P, Offutt-Powell TN, Lopez K, Montgomery SP, Lawrence GG. Notes from the Field: Identification of a Triatoma sanguisuga "Kissing Bug" - Delaware, 2018. MMWR Morb Mortal Wkly Rep. 2019 Apr 19. 68 (15):359. [QxMD MEDLINE Link].
Feit N. Deadly kissing bugs, already reported in the Carolinas, have spread north, CDC says. The News & Observer. Available athttps://www.newsobserver.com/news/state/south-carolina/article229655714.html. April 25, 2019; Accessed: June 23, 2023.
Irish A, Whitman JD, Clark EH, Marcus R, Bern C. Updated Estimates and Mapping for Prevalence of Chagas Disease among Adults, United States. Emerg Infect Dis. 2022 Jul. 28 (7):1313-1320. [QxMD MEDLINE Link].
Hochberg NS, Montgomery SP. Chagas Disease. Ann Intern Med. 2023 Feb. 176 (2):ITC17-ITC32. [QxMD MEDLINE Link].
Kirchhoff LV, Paredes P, Lomelí-Guerrero A, et al. Transfusion-associated Chagas disease (American trypanosomiasis) in Mexico: implications for transfusion medicine in the United States. Transfusion. 2006 Feb. 46(2):298-304. [QxMD MEDLINE Link].
Carabarin-Lima A, González-Vázquez MC, Rodríguez-Morales O, Baylón-Pacheco L, Rosales-Encina JL, Reyes-López PA, et al. Chagas disease (American trypanosomiasis) in Mexico: an update. Acta Trop. 2013 Aug. 127(2):126-35. [QxMD MEDLINE Link].
Beatty NL, Alcala RF, Luque NA, Radetic M, Joshi-Guske P, Alakrad E, et al. Case Report: Chagas Disease in a Traveler Who Developed Esophageal Involvement Decades after Acute Infection. Am J Trop Med Hyg. 2023 Mar 1. 108 (3):543-547. [QxMD MEDLINE Link].
Bern C, Montgomery SP, Katz L, Caglioti S, Stramer SL. Chagas disease and the US blood supply. Curr Opin Infect Dis. 2008 Oct. 21(5):476-82. [QxMD MEDLINE Link].
Young C, Losikoff P, Chawla A, et al. Transfusion-acquired Trypanosoma cruzi infection. Transfusion. 2007 Mar. 47(3):540-4. [QxMD MEDLINE Link].
Kessler DA, Shi PA, Avecilla ST, Shaz BH. Results of lookback for Chagas disease since the inception of donor screening at New York Blood Center. Transfusion. 2013 May. 53(5):1083-7. [QxMD MEDLINE Link].
Trypanosoma cruzi (T. cruzi), Whole Cell Lysate Antigen, ORTHO® T. cruzi ELISA Test System (Package insert). Ortho-Clinical Diagnostics, Inc. 2006.
Tobler LH, Contestable P, Pitina L, et al. Evaluation of a new enzyme-linked immunosorbent assay for detection of Chagas antibody in US blood donors. Transfusion. 2007 Jan. 47(1):90-6. [QxMD MEDLINE Link].
Chang CD, Cheng KY, Jiang LX, Salbilla VA, Haller AS, Yem AW, et al. Evaluation of a prototype Trypanosoma cruzi antibody assay with recombinant antigens on a fully automated chemiluminescence analyzer for blood donor screening. Transfusion. 2006 Oct. 46(10):1737-44. [QxMD MEDLINE Link].
Cheng KY, Chang CD, Salbilla VA, Kirchhoff LV, Leiby DA, Schochetman G, et al. Immunoblot assay using recombinant antigens as a supplemental test to confirm the presence of antibodies to Trypanosoma cruzi. Clin Vaccine Immunol. 2007 Apr. 14(4):355-61. [QxMD MEDLINE Link].[Full Text].
Shah DO, Chang CD, Cheng KY, Salbilla VA, Adya N, Marchlewicz BA, et al. Comparison of the analytic sensitivities of a recombinant immunoblot assay and the radioimmune precipitation assay for the detection of antibodies to Trypanosoma cruzi in patients with Chagas disease. Diagn Microbiol Infect Dis. 2010 Aug. 67(4):402-5. [QxMD MEDLINE Link].
Kirchhoff LV, Gam AA, Gusmao RA, et al. Increased specificity of serodiagnosis of Chagas' disease by detection of antibody to the 72- and 90-kilodalton glycoproteins of Trypanosoma cruzi. J Infect Dis. 1987 Mar. 155(3):561-4. [QxMD MEDLINE Link].
Otani MM, Vinelli E, Kirchhoff LV, del Pozo A, Sands A, Vercauteren G, et al. WHO comparative evaluation of serologic assays for Chagas disease. Transfusion. 2009 Jun. 49(6):1076-82. [QxMD MEDLINE Link].
Custer B, Agapova M, Bruhn R, Cusick R, Kamel H, Tomasulo P, et al. Epidemiologic and laboratory findings from 3 years of testing United States blood donors for Trypanosoma cruzi. Transfusion. 2012 Sep. 52 (9):1901-11. [QxMD MEDLINE Link].
Requena-Méndez A, Aldasoro E, de Lazzari E, Sicuri E, Brown M, Moore DA, et al. Prevalence of Chagas disease in Latin-American migrants living in Europe: a systematic review and meta-analysis. PLoS Negl Trop Dis. 2015 Feb. 9 (2):e0003540. [QxMD MEDLINE Link].
Roca Saumell C, Soriano-Arandes A, Solsona Díaz L, Gascón Brustenga J, Grupo de consenso Chagas-APS. [Consensus document for the detection and management of Chagas disease in primary health care in a non-endemic areas]. Aten Primaria. 2015 May. 47 (5):308-17. [QxMD MEDLINE Link].
Irish A, Whitman JD, Clark EH, Marcus R, Bern C. Updated Estimates and Mapping for Prevalence of Chagas Disease among Adults, United States. Emerg Infect Dis. 2022 Jul. 28 (7):1313-1320. [QxMD MEDLINE Link].
Hochberg NS, Montgomery SP. Chagas Disease. Ann Intern Med. 2023 Feb. 176 (2):ITC17-ITC32. [QxMD MEDLINE Link].
Gómez-Ochoa SA, Rojas LZ, Echeverría LE, Muka T, Franco OH. Global, Regional, and National Trends of Chagas Disease from 1990 to 2019: Comprehensive Analysis of the Global Burden of Disease Study. Glob Heart. 2022. 17 (1):59. [QxMD MEDLINE Link].
Abras A, Ballart C, Fernández-Arévalo A, Pinazo MJ, Gascón J, Muñoz C, et al. Worldwide Control and Management of Chagas Disease in a New Era of Globalization: a Close Look at Congenital Trypanosoma cruzi Infection. Clin Microbiol Rev. 2022 Apr 20. 35 (2):e0015221. [QxMD MEDLINE Link].
Forsyth CJ, Manne-Goehler J, Bern C, Whitman J, Hochberg NS, Edwards M, et al. Recommendations for Screening and Diagnosis of Chagas Disease in the United States. J Infect Dis. 2022 May 4. 225 (9):1601-1610. [QxMD MEDLINE Link].
Salvatella R. Estimación cuantitativa de la enfermedad de Chagas en las Américas. Washington, D.C.: Pan American Health Association; 2006.
Segura EL, Cura EN, Estani SA, et al. Long-term effects of a nationwide control program on the seropositivity for Trypanosoma cruzi infection in young men from Argentina. Am J Trop Med Hyg. 2000 Mar. 62(3):353-62. [QxMD MEDLINE Link].
Sabino EC, Goncalez TT, Salles NA, et al. Trends in the prevalence of Chagas' disease among first-time blood donors in São Paulo, Brazil. Transfusion. 2003 Jul. 43(7):853-6. [QxMD MEDLINE Link].
Dias JC. Elimination of Chagas disease transmission: perspectives. Mem Inst Oswaldo Cruz. 2009 Jul. 104 Suppl 1:41-5. [QxMD MEDLINE Link].
Shikanai Yasuda MA. Emerging and reemerging forms of Trypanosoma cruzi transmission. Mem Inst Oswaldo Cruz. 2022. 117:e210033. [QxMD MEDLINE Link].
NORMA Oficial Mexicana NOM-253-SSA1-2012, Para la disposición de sangre humana y sus componentes con fines terapéuticos. Diario Oficial de la Federación. Available athttps://www.dof.gob.mx/nota_detalle.php?codigo=5275587&fecha=26/10/2012. October 26, 2012; Accessed: June 23, 2023.
Cunha-Neto E, Chevillard C. Chagas disease cardiomyopathy: immunopathology and genetics. Mediators Inflamm. 2014. 2014:683230. [QxMD MEDLINE Link].[Full Text].
Nogueira LG, Santos RH, Fiorelli AI, Mairena EC, Benvenuti LA, Bocchi EA, et al. Myocardial gene expression of T-bet, GATA-3, Ror-?t, FoxP3, and hallmark cytokines in chronic Chagas disease cardiomyopathy: an essentially unopposed TH1-type response. Mediators Inflamm. 2014. 2014:914326. [QxMD MEDLINE Link].[Full Text].
Zingales B, Andrade SG, Briones MR, Campbell DA, Chiari E, Fernandes O, et al. A new consensus for Trypanosoma cruzi intraspecific nomenclature: second revision meeting recommends TcI to TcVI. Mem Inst Oswaldo Cruz. 2009 Nov. 104 (7):1051-4. [QxMD MEDLINE Link].
Vela A, Coral-Almeida M, Sereno D, Costales JA, Barnabé C, Brenière SF. In vitro susceptibility of Trypanosoma cruzi discrete typing units (DTUs) to benznidazole: A systematic review and meta-analysis. PLoS Negl Trop Dis. 2021 Mar. 15 (3):e0009269. [QxMD MEDLINE Link].
Casares-Marfil D, Kerick M, Andrés-León E, Bosch-Nicolau P, Molina I, Chagas Genetics CYTED Network, et al. GWAS loci associated with Chagas cardiomyopathy influences DNA methylation levels. PLoS Negl Trop Dis. 2021 Oct. 15 (10):e0009874. [QxMD MEDLINE Link].
Casares-Marfil D, Strauss M, Bosch-Nicolau P, Lo Presti MS, Molina I, Chevillard C, et al. A Genome-Wide Association Study Identifies Novel Susceptibility loci in Chronic Chagas Cardiomyopathy. Clin Infect Dis. 2021 Aug 16. 73 (4):672-679. [QxMD MEDLINE Link].










































Comentarios